MENU CLOSE

電話予約 LINE予約

大井町フラミンゴ歯科

インプラント治療

2026年1月時点・当院調べ

累計実績3,276本

経験を活かし、安全性に配慮した診療を心がけています。
※当院のカルテ記録に基づく累計値です。
症例数は個人差があり、治療結果を保証するものではありません。

インプラントの本数実績

納得して受けられる
制度のある
インプラント治療

東京都品川区 大井町駅徒歩1

豊富な手術数、高い成功率を持つ
CT完備・安全に配慮した精密インプラント治療

IMPLANT

FLAMINGO DENTAL CLINIC

FLAMINGO DENTAL CLINIC

FLAMINGO DENTAL CLINIC

FLAMINGO DENTAL CLINIC

ABOUT CERAMIC ORTHODONTICS

インプラント治療とは

インプラント治療は、失った歯の部分に人工の歯根を埋め込み、
その上に人工の歯を装着する治療法です。自分の歯のようにしっかり噛める機能と、
美しい見た目を両立できる点が大きな特長です。
従来の入れ歯やブリッジでは「ずれる」「噛みにくい」「隣の歯を削る必要がある」といった問題がありました。
一方、インプラントはあごの骨に人工歯根(チタン製スクリュー)を固定するため、天然歯とほとんど変わらない安定感が得られます。周囲の歯に負担をかけずに治療できることから、近年では多くの患者様に選ばれています。

噛めない・失った歯の不安に、
インプラント治療という選択を。

失った歯を補うことは、見た目だけでなく「食べる」「話す」といった毎日の生活に直結しています。インプラント治療は、もう一度自分の歯のように噛める喜びと、人前で笑える自信を取り戻すための選択肢です。

  • 歯を失った
  • 入れ歯の不快感
  • 噛めない
  • ガタガタ

こんなお悩みありませんか

  • 入れ歯が合わず、ガタつきや違和感がある
  • 食事のたびに「噛みにくい」と感じている
  • 硬いものが噛めず、食べたいものを我慢している
  • ブリッジで健康な歯を削るのに抵抗がある
  • 歯が抜けた部分をそのままにしていて見た目が気になる

大井町フラミンゴ歯科のインプラント治療は
こんな方にお勧めしています

RECOMMENDED FOR

  • POINT01

    インプラントは
    お金がかかりそうと思っている方

    最適な治療を
    適正価格でご提案します

    他院と比べ圧倒的な低価格でインプラントをご提供しております。インプラントの仕入価格を削減することで、価格は安くハイクオリティな治療を提供しております。フィクスチャーを大量購入することにより定価の半額以下で購入することができます。それにより、フラミンゴ歯科でのインプラントの価格は他院と比べ圧倒的な低価格でご提供する事が可能となります。ぜひ、他院の価格と比較してみてください。

  • POINT02

    顎の骨に穴をあけるなんて
    怖いと思っている方

    寝ている間の治療で安心

    表面麻酔を用い、痛みに配慮し、麻酔の注射器は電動注射器を使用し痛みなく局所麻酔をする事ができます。
    恐怖感・抵抗感が強い場合は、笑気麻酔と静脈麻酔も用意しています。静脈内鎮静法による麻酔は専属麻酔科医による点滴を行い、眠っている間の治療が可能です。勿論、日帰り手術となります。

  • POINT03

    入れ歯が合わなくて困っている方

    入れ歯の悩み、すべて解決

    「うまく噛めない」「入れ歯が合わない」など、入れ歯に関するお悩みを抱えている方は少なくありません。そのような場合でも、インプラント治療であれば解消できる可能性が高く、ご自身の歯のように違和感なくしっかり噛むことができます。インプラントは顎の骨と結合して固定されるため、ズレたり外れたりしにくく、安定性が高いのが特徴です。
    「入れ歯が合わない」と感じている方は、インプラント治療も選択肢のひとつとしてご検討ください。

  • POINT04

    治療期間が長くかかりそうと思っている方

    最短で3ヶ月で治療完了

    インプラントは、一般的な歯科治療に比べて期間がかかってしまう治療です。最短で3か月、平均で6か月、難症例では1年近くかかることもあります。症例によって治療期間が大きく異なるため、一概にどれほどの期間がかかるかは言い切れません。しかし、当院で使用しているフィクスチャーは6週間でオッセオインテグレーションするものを使用しているため他院に比べ早く治療を終了する事ができます。(骨造成を必要としない場合)

  • POINT05

    他院で骨が少なくて断られてしまった方

    諦める前に一度ご来院ください

    「骨の量が少ない」「骨が薄い」といった理由でインプラント治療を断られてしまった方も、決して諦める必要はありません。
    他院で手術が難しいと判断された場合でも、現在では医療技術の進歩によって不足した骨を補う治療法が確立されており、従来なら不可能とされた症例でも対応できるようになっています。骨の状態はCTによる精密検査で正確に把握することが可能です。大井町フラミンゴ歯科では、患者様一人ひとりの骨の状態を的確に診断し、最適な治療計画をご提案いたします。
    「インプラントは無理」と諦める前に、ぜひ当院へご相談ください。

  • POINT06

    長く保証されるインプラントを望む方

    長期保証を用意しました

    インプラント治療において、保証内容は医院選びの重要なポイントです。 当院では、2024年8月よりインプラント治療を受けていただいた方のために「長期保証」制度を導入しました。インプラントは直接命に関わる治療ではありませんが、業界平均で40万円前後の費用がかかり、さらに歯茎を切開し、骨に穴を開け、チタンを埋め込むという肉体的・精神的にも大きなご負担を伴います。
    だからこそ、フラミンゴ歯科では患者様の勇気ある選択に応えるため、「入れたインプラントは一生のもの」という想いを形にしました。
    万が一のトラブルやリスクは、すべて私たちが背負います。
    安心して治療を受けていただけるよう、責任を持ってサポートいたします。

あなたの未来を支える
インプラント治療は一生モノ。

だからこそ、後悔しない選択と
慎重な歯科医院選びが重要です

インプラント治療本数紹介

累計本数

2019年7月~2026年1月までの累計本数

3,276

月インプラント本数

横スクロールでご覧いただけます。

インプラントはあなたの
人生に寄り添う大切な治療です

長く快適に使い続けるためには、手術前のカウンセリングや検査、医師の技術力、クリニックの設備、アフターケアの揃った歯科医院を選ぶことが重要です。
大井町フラミンゴ歯科では、インプラント認定医による患者様が安心して一生涯お付き合いいただけるインプラント治療を提供しています。

大井町フラミンゴ歯科 桑水流 隼人

大井町フラミンゴ歯科は
長期保証」でインプラント治療を行うことが可能!
患者様の想いに寄り添い、確かな結果で応えます

FLAMINGO DENTAL CLINIC

FLAMINGO DENTAL CLINIC

FLAMINGO DENTAL CLINIC

CASE

インプラント症例紹介

フラミンゴ歯科で行った治療症例をご紹介します。
実際の症例をご覧になり、同じようなお悩みでご相談に来られる患者様も多くいらっしゃいます。

  • 長年前歯の見た目に悩まされていた方の治療 長年前歯の見た目に悩まされていた方の治療

    長年前歯の見た目に悩まされていた方の治療

    性別 30代・女性
    治療期間・回数 4か月
    治療費用 総額:330万円(税込)
    この症例の詳しい紹介へ
  • ・外科処置が伴うため術後に痛みや腫れ、出血を伴います。
  • ・インプラントにはインプラント周囲炎といって清掃不足による歯周病になる可能性があるため、自宅でのセルフケアやクリニックでのケアが必要となってきます。
  • ・セラミックは美術品ではありません。破折のリスクがあります。
  • ・歯並びが変わることにより、違和感が生じる場合もあります。
  • ・疼痛、咬合時痛、冷水痛、温水痛、場合によっては神経の治療、抜歯を必要とする場合もあります。

※治療結果には個人差があります。

※掲載には患者様の同意をいただいています。

全ての症例一覧へ

大井町フラミンゴ歯科の
インプラント治療”選ばれる理由

  • Point 01

    10年、20年先も安心を見据えた
    長期保証インプラント治療

    インプラント治療は、手術の成功だけでなく「その後、長く安心して使えるかどうか」が大切です。大井町フラミンゴ歯科では、治療後も安心してお使いいただけるよう、保証制度と定期メンテナンス体制を整えています。

    当院では
    ・インプラント本体とアバットメント(土台部分)に長期保証を設定
    ・上部構造(セラミックの人工歯)は3年間の保証付き
    とし、治療後のトラブルや不具合にも責任を持って対応いたします。

    保証期間中に万が一の不具合が生じた場合は、状態を確認のうえ再治療・修正を行います。また、定期的なメンテナンス(半年〜1年ごとの検診)を継続していただくことで、保証が適用され、長期的な安定をサポートします。
    「10年後、20年後も安心して使えるインプラント」を目指し、治療後のフォローアップにも力を入れています。

    大井町フラミンゴ歯科には
    安心の保証制度があります

    • インプラントの保証は、フィクスチャー(本体)に長期保証制度を設けています。
      上部構造(人工歯)は3年間の保証があり、ガイドデントに加入いただくことで最長10年間の保証が適用されます。
    • インプラントの保証を継続するには、6か月ごとの定期メンテナンスを受けていただく必要があります。
      (メンテナンス料:5,500円/税込)
      定期メンテナンスでは、インプラント周囲部位のクリーニング、緩みのチェック、噛み合わせの確認を行います。
      ※レントゲン撮影が必要な場合は、別途費用がかかります。
      ご希望の方には、お口全体を対象とした自費メンテナンスコース(13,200円/税込)もご用意しています。
    • 保証の適用には、喫煙されていないことが条件となります。
    • インプラントが脱落した場合、上部構造保証期間外であれば、上部構造+アバットメントの再製作費用が別途必要となります。
    • 他院での処置や、交通事故など予期せぬトラブルによる損傷は保証の対象外となります。
    再治療率の低い認定歯科医療機関として表彰させていただきます。

    再治療率が少ない医院
    全国TOP100に選ばれました

  • Point 02

    難症例にも対応可能な、豊富な実績を持つ
    インプラント認定医

    大井町フラミンゴ歯科では、これまでに数多くのインプラント治療を行ってきました。骨が薄い・骨量が少ないなどの理由で「他院でインプラントを断られた方」のご相談も多く、そうした難症例への対応実績も豊富にあります。
    当院のインプラント認定医は、国内外の研修や国際的な学会で研鑽を積んだ専門医です。長年の経験と確かな技術をもとに、患者様一人ひとりの状態に合わせた安全で最適な治療法をご提案いたします。
    「難しいと言われたケースでもインプラント治療が可能か知りたい」「信頼できるインプラント認定医に相談したい」という方は、ぜひ一度ご相談ください。

    上級インプラントにも対応

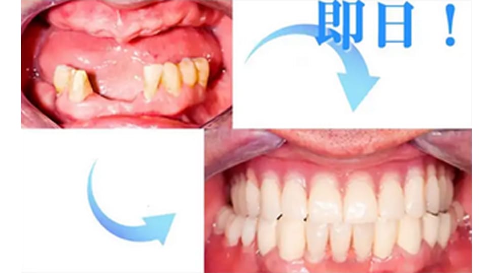
    • 抜歯即時インプラント

      抜歯即時インプラントは、抜歯した部分に即日でインプラントを埋入し、仮歯まで装着する治療法です。抜歯と埋入手術を同日に行うため、外科処置の回数を減らすことができ、さらに治療期間も短縮することが可能です。診査・診断の結果、適応可能な場合にはご提案いたします。

    • ALL ON 4(オールオンフォー)

      ALL ON 4(オールオンフォー)は、4本のインプラントで片顎全ての歯を補うインプラントの上級テクニックです。顎の骨の量が少ない場合にも、手術当日に固定式の歯を入れることができます。また、1本ずつのインプラントを埋入する方法に比べて、費用が抑えられるのも特徴です。

    • インプラントオーバーデンチャー
      (IOD)

      インプラントオーバーデンチャーは、インプラントを支えにして入れ歯を安定させる治療法です。通常の総入れ歯に比べてズレや外れが少なく、しっかり噛めるのが特徴です。少ない本数のインプラントで装着できるため、外科的負担を抑えながら安定性を高めたい方に適しています。

    • サイナスリフト

      サイナスリフトは、上顎の骨が少ない場合に骨を再生させる処置です。上顎洞(サイナス)の粘膜を持ち上げ、そこに人工骨などを入れて骨の厚みを確保します。これにより、骨量が不足していてもインプラントが安全に埋入できる状態を整えることが可能です。

    • ソケットリフト

      ソケットリフトは、比較的軽度な骨量不足の際に行う骨造成法です。
      歯の抜歯部位(ソケット)から上顎洞を押し上げて骨を補うため、サイナスリフトよりも低侵襲(体への負担が少ない)のが特徴です。
      骨の状態によっては、同日にインプラントを埋入できるケースもあります。

    • CGF(Concentrated Growth Factors)

      CGFは、患者様自身の血液から抽出した成長因子を利用する再生療法です。
      採取した血液を遠心分離して作られるフィブリンゲルを使用し、術後の腫れや痛みを抑え、治癒を促進します。人工的な添加物を含まないため、生体への負担が少なく、安全性の高い再生医療技術として注目されています。

  • Point 03

    初回カウンセリングは
    無料で行っています

    治療を検討されている方が、安心して第一歩を踏み出せるよう、
    初回カウンセリングは無料で実施しています。
    治療の流れや費用、素材の違い、保証内容まで丁寧にご説明し、不安や疑問を解消したうえで、納得して治療を始められるようサポートします。
    無理な勧誘は一切ありませんので、安心してご相談ください。

  • Point 04

    歯科恐怖症の方も安心
    痛みに最大限配慮

    大井町フラミンゴ歯科では、痛みに配慮したやさしい治療を行っています。
    麻酔注射の痛みをできるだけ抑える工夫をはじめ、リラックスして治療を受けられるよう、環境づくりにもこだわっています。

    また、専門の麻酔科医が常勤しており、静脈内鎮静法などの麻酔管理も安全に実施しています。
    痛みへの不安や恐怖心を和らげながら、患者様が安心して治療に臨めるようサポートしています。

  • Point 05

    耐久性×審美性
    追求したインプラント治療

    当院では、被せ物やインプラント治療にジルコニア(Zirconia)を採用しています。
    ジルコニアはセラミック系素材の中でも特に強度が高く、白く自然な色調を持つことから、天然歯に近い美しい仕上がりを実現しやすいのが特徴です。

    また、摩耗や変色が起こりにくく、高い耐久性と生体親和性を兼ね備えていることが多くの研究で報告されています。
    そのため、見た目と機能の両面で長期的な安定が期待できる素材として、世界的に広く使用されています。

  • Point 06

    信頼できるメーカーの
    インプラントブランドを使用

    インプラントは、治療後も長期にわたって使用していくものです。
    そのため、どのメーカーのインプラントを選ぶかは、治療の安全性や安定性に大きく関わります。
    信頼性の高いメーカーを選ぶことは、将来的な安心につながる大切な要素です。
    大井町フラミンゴ歯科では、世界的に実績と信頼のあるインプラントメーカーの製品を採用しています。

    長年にわたり多くの臨床データに基づいて改良が重ねられたシステムであり、品質管理や部品供給体制も整っているため、将来的なメンテナンスや修理にも安心して対応できます。

    • Straumann(ストローマン)

      ストローマン社は40年以上の実績年数を有する、現在世界シェア1番の信頼の高いインプラントメーカーです。創業から研究に力を入れ、豊富な臨床データに基づき、品質の高いインプラントを製作しています。
      日本人の顎骨にも適したサイズや形状、表面の特殊な加工によって顎骨との結合が早く治療期間を短縮出来ることが最大の特徴です。

    • OSSTEM(オステム)

      1997年に誕生した韓国のインプラントシステムです。インプラント3大メーカー(ストローマン・ノーベルバイオケア・デンツプライ)それぞれの特徴を盛り込んだインプラント体は、世界的にも評価が高く、多くの国で採用されています。 初期固定に優れた形状をはじめ、顎骨と結合しやすい表面加工や歯槽骨の退縮を抑える工夫が施されています。アジア人の骨格に適しているのも特徴です。

  • Point 07

    診断や治療の質を向上させる
    精密機器

    インプラント治療の成功には、歯科医師の技術力だけでなく、診断や手術をサポートする先進的な精密機器の存在が欠かせません。
    当院では、歯科用CTやマイクロスコープなどを導入し、肉眼では確認できない細部まで正確に把握することができます。これにより、骨の状態や神経・血管の位置を正しく把握し、治療計画を立てることが可能になります。

    当院の目指すのは、安心・安全・長期安定を兼ね備えたインプラント治療です。
    先端の精密機器を活用することで、一人ひとりの患者様に合わせた最適な治療をご提供しています。

    設備投資に一切妥協はしません

    • CT(二次元立体画像撮影装置)

      当院ではCTを導入し従来のレントゲンでは捉えきれなかった、顎の骨の状態(質、厚み、形態、高さ等)を正確に判断し進めることができます。 CT画像をもとに口腔内の現状を正しく把握して治療計画を立てますので、精度の高いインプラント治療を行います。

    • ガイドシステム

      ガイドシステムとはインプラント治療を行う際にCT撮影で得られた画像をコンピュータでシミュレーションするシステムです。

    • マイクロスコープ(歯科用)

      マイクロスコープは最大20倍まで拡大できる歯科用顕微鏡です。肉眼で行う歯科治療よりもマイクロスコープを用いた精密治療の方が精度の高い治療が可能となります。

TREATMENT COSTS

費用について

月々分割3,000円から!

クレジット paypay 院内分割 デンタルローン(最大120回分割)に対応。 利用可能な決済方法:VISA、Mastercard、JCB、Diners Club、PayPay
詳しくは料金案内へ

FLOW OF TREATMENT

治療の流れ

FLOW OF TREATMENT

FLOW OF TREATMENT

FLOW OF TREATMENT

  • step01

    丁寧なカウンセリング

    治療開始前に、カウンセリングにてインプラント治療についての正しい情報を知っていただきます。 治療法・手術内容など、多くの方は漠然としたイメージしか持っていません。
    そのため、当院では、患者さま個人の状態に関する説明はもちろん、一般的な手術の成功率や起こり得るリスク・デメリットなどもすべてお伝えします。もちろん、インプラントだけでなく、どのような治療が可能なのか詳しく説明を行い、患者さまのご希望に合った治療法を選択していただきます。

  • step02

    術前検査

    インプラントは顎の骨にチタンを埋め込むため、神経や血管を傷つけるリスクがあります。どんなに経験を積んだ歯科医であっても、検査なしで行えば、神経や血管に思わぬ損傷を与えてしまうでしょう。
    そのため、すべての患者さまに術前検査を受けていただきます。患者さまそれぞれで神経や血管の場所、骨の厚さはミリ単位で異なっているためです。
    一刻も早いインプラント手術をご希望の患者さまもいらっしゃいますが、納得できる安全性の高い治療のために、検査へのご協力をお願い致します。術前検査では、CT撮影を行います。当院では細部まで高いクオリティ撮影可能なものを導入しております。また、他にも光学印象を使用した咬合のチェックなど、インプラントをより長く快適にお使いいただくための診察も行います。

  • step03

    治療計画

    検査結果をもとに、治療計画を立てていきます。この際も担当医がご説明しますので、インプラントに対する疑問点や不安点はすべてお話しください。外科手術ですので、ひとつひとつ不安をきちんと取り除いてから挑みましょう。
    残念ながら、検査の結果インプラントをすぐに埋め込むことができない場合もあります。例えばインプラントを埋め込みたい場所が歯周病となっているケースや、全身性の病気(糖尿病など)の状態が良くないケースです。この場合は懸念となる病気の治療や症状の改善からはじめなくてはなりません。

  • step04

    一次手術

    治療計画にもとづき、いよいよインプラントの手術を行います。当日は万全の体調でお越しください。
    インプラントの手術は一次手術と二次手術の合計2回行います。一時手術では顎の骨にインプラントを埋め込む手術を行います。歯肉をメスで切開し、骨にインプラントを埋め込みます、所要時間は本数によって変動しますが30分~2時間程度とお考ください。
    一次手術を終えてから3~6か月ほどインプラントと顎の骨の結合期間を置き、埋め込んだインプラントと骨の結合が確認されてから二次手術を行います。

  • step05

    二次手術

    二次手術は、インプラントと人工の歯を接続させるアバットメントの取り付けが目的です。これは歯の土台部分にあたり、人工の歯を外すと歯肉に植わって見える部分です。
    少し歯肉を切開して、インプラントが見える状態にします。一次手術から2~4週間ほどたって歯肉の傷が癒えてから、型を取り、患者さまに合った人工の歯を作ります。術前の検査も参考に、噛み合わせも考慮した人工の歯を作製します。

  • step06

    人工歯の装着

    インプラント部位の精密な型どりを行い上部構造と言われるセラミック製の人工の歯や義歯を作成します。
    上部構造の色や形態は専任の歯科技工士と綿密な打ち合わせを行い製作するので非常に精度高く完成する事ができます。

  • step07

    メンテナンス

    治療終了後は、定期的に歯科医師による検査とクリーニングを行う必要があります。歯のかみ合わせは時間経過とともに変化し、調整を行う必要があります。また歯周病になるとインプラントもご自身の歯と同様に抜け落ちてしまう可能性があります。インプラントを長期に渡って使用するために定期的にメンテナンスを受けましょう。

インプラント相談集 インプラント治療に関するお悩み・相談を紹介します

インプラントのよくあるご質問

Q.

インプラントは誰でも受けれる?高齢者でも大丈夫?

全身の健康状態が安定していれば、年齢に関係なくインプラント治療は可能です。
実際に60代・70代の患者様も多く、しっかり噛めるようになったことで「食事が楽しくなった」と感じる方もいらっしゃいます。
大切なのは“年齢”ではなく、“お口と体の健康状態”です。

治療の可否を判断する際には、まず顎の骨の状態を確認します。
骨の厚みや密度が足りない場合は、「骨造成(こつぞうせい)」などの前処置を行うことで対応できます。
また、糖尿病や心疾患、高血圧といった持病がある方も、症状が安定していれば治療を受けられるケースが多く、当院では主治医と連携して安全に進めます。

喫煙は骨の治りを遅らせる可能性があるため、治療前後の禁煙をおすすめしています。
一方で、喫煙以外に年齢制限はなく、しっかり診査・診断を行えば高齢の方でも十分に治療可能です。

大井町フラミンゴ歯科では、CT撮影による骨の立体的な評価と全身の健康チェックを行い、患者様ごとに無理のない治療計画を立てています。
「年齢が心配」「持病がある」と感じている方も、まずはカウンセリングでお気軽にご相談ください。
状態に合わせて最適な治療法や他の選択肢も含めてご提案いたします。

Q.

インプラントの手術中は痛みがありますか?

インプラント手術は、麻酔をしっかり効かせた状態で行うため、手術中に痛みを感じることはほとんどありません。
多くの方が「思っていたよりも楽だった」とお話しされています。

当院では、治療内容や体調、不安の度合いに応じて、最も適した麻酔方法を選択しています。
一般的に多く用いられるのは、虫歯治療でも使われる局所麻酔です。
治療部位だけを確実に麻酔し、痛みを抑えながら処置を進めます。

また、不安が強い方や長時間の手術になる場合には「静脈内鎮静法(セデーション)」を併用します。
うたた寝をしているようなリラックスした状態で手術を受けられる方法で、「気づいたら終わっていた」と感じる方も多いです。

麻酔が切れたあとに、軽い違和感や腫れ、鈍い痛みを感じる場合がありますが、多くは一時的な反応で、処方された痛み止めを服用すれば数日で落ち着きます。
手術自体は1本あたり30分〜1時間ほどで完了し、想像以上に体への負担は少ないのが実際です。

大井町フラミンゴ歯科では、事前にCT撮影で神経や血管の位置を正確に把握し、無理のない安全な治療計画を立てています。
「手術が怖い」「痛みに弱い」という方でも安心して受けられるよう、落ち着いた環境と丁寧な麻酔管理でサポートしています。
まずはカウンセリングで、不安な点をお気軽にご相談ください。

Q.

インプラント治療が完了するまでにはどれくらいの期間がかかりますか?

インプラント治療の期間は、骨の状態や治癒のスピード、治療方法によって異なりますが、一般的には「手術から最終の人工歯(被せ物)が入るまで」およそ3〜6か月が目安です。
ただし、近年は技術の進歩により、より短期間で治療を完了できるケースも増えています。

大井町フラミンゴ歯科では、体への負担を少なく安全に進められる「低侵襲インプラント治療(Minimal Invasive Implant Surgery)」を採用しています。
世界的に信頼性の高いストローマン社製・オステム社製インプラントを使用しており、骨とチタンがしっかり結合する「オッセオインテグレーション(骨結合)」までの期間が比較的短く、条件が整えば最短3か月ほどで治療を完了できる場合もあります。

また、骨を削るのではなく圧縮して密度を高める「オッセオデンシフィケーション技術」を導入。
骨の安定性を高めることで、治癒期間の短縮と高い成功率の両立を実現しています。こうした取り組みにより、「短期間でもしっかり噛めるようになる」治療を目指しています。

治療期間に影響する要素としては、顎の骨の厚みや密度、骨造成の有無、全身の健康状態、喫煙習慣、噛み合わせの状態などがあります。
当院ではCT検査でこれらを正確に診断し、患者様ごとに最適なスケジュールを立てています。
早く治したい方も、まずは安全なペースで無理のない治療計画を立てることが大切です。

「治療期間が長そうで不安」という方も、CT検査とカウンセリングで現状を把握すれば、どのくらいの期間で完了できるか明確になります。
大井町フラミンゴ歯科では、短期間・高精度・低リスクのインプラント治療を実現し、一人ひとりに合った安全な治療プランをご提案しています。

よくある質問をもっと見る

まずは無料相談から!
セカンドオピニオンも大歓迎です

誰にも相談できず、一人で抱えてしまう辛い歯のお悩み。
インプラント治療を決心するには、大きな勇気が必要です。

「治療が本当に自分に合っているのか…」
「費用や痛み、将来のことが不安…」

そんな素直なお気持ちを、率直にお聞かせください。
大井町フラミンゴ歯科では、専門の認定医が患者様のお話に耳を傾け、
最適な治療法をわかりやすく丁寧にご提案いたします。

お電話、またはご予約の際に「インプラント無料相談希望」とお伝えください。
その一歩が、これからの人生を変えるきっかけになるかもしれません。

大井町フラミンゴ歯科 桑水流 隼人

CONTACT

お問い合わせ・
ご予約はこちらから