FLAMINGO DENTAL CLINIC
FLAMINGO DENTAL CLINIC
FLAMINGO DENTAL CLINIC
FLAMINGO DOCTOR
FLAMINGO DOCTOR
FLAMINGO DOCTOR
「大井町駅」徒歩1分
診療時間
| 月 | 火 | 水 | 木 | 金 | 土 | 日 | 祝 | |
|---|---|---|---|---|---|---|---|---|
| 10:00 - 14:00 15:00 - 19:00 |
||||||||
| 10:00 - 13:00 14:00 - 17:00 |
理事長紹介
お客様に思いっきり
笑っていただき、
喜びを共に分かち合いたい。
理事長
桑水流 隼人
- 2013年
- 福岡歯科大学歯学部 卒業
- 福岡歯科大学医科歯科総合病院臨床研修医
- 2014年
- 医療法人社団世航会勤務 勤務
- 2015年
- 医療法人光世会勤務 勤務
- 2016年
- 医療法人社団立靖会 勤務
- 2017年
- 医療法人社団立靖会 歯科医療部長就任
- 2019年7月
- 大井町フラミンゴ歯科 開院
- 2020年4月
- 滝王子保育園園医
- 2020年10月
- 医療法人社団Smile Art設立
FLAMINGO DOCTOR
FLAMINGO DOCTOR
FLAMINGO DOCTOR
DOCTOR
ドクター紹介
NEWS
お知らせ紹介
TREATMENT
TREATMENT
TREATMENT
TREATMENT
TREATMENT
診療案内
フラミンゴ歯科の各診療メニューをご案内します。
歯のお悩み・お困りごとは、品川区大井町駅徒歩1分の歯医者、大井町フラミンゴ歯科へ!
まずは気軽にご相談ください!
CASE
症例紹介
フラミンゴ歯科で行った治療症例をご紹介します。
実際の症例をご覧になり、同じようなお悩みでご相談に来られる患者様も多くいらっしゃいます。
-
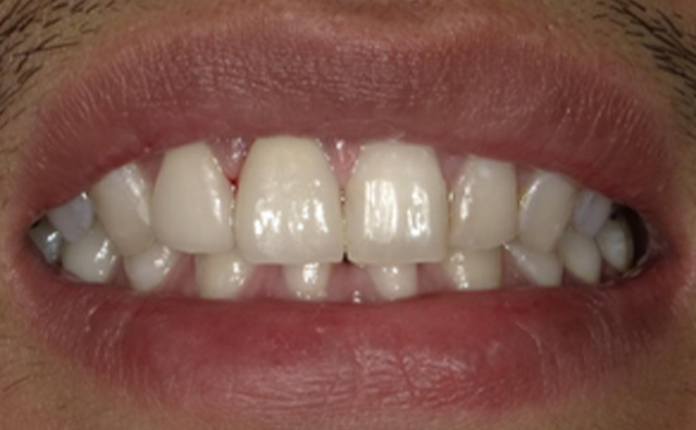
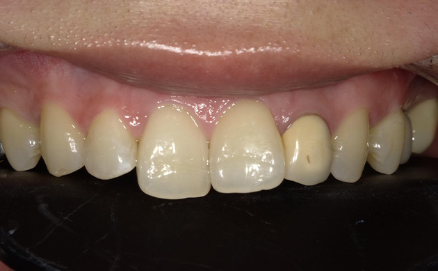
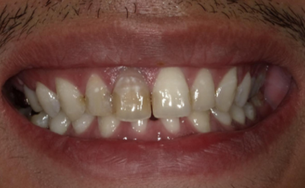
古くなった被せ物と歯並びにお悩みだった患者様
この症例の詳しい紹介へ性別 40代女性 治療期間・回数 2か月 治療費用 総額:105万円(税込) -
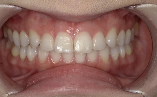
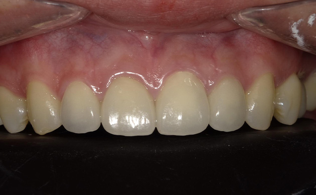
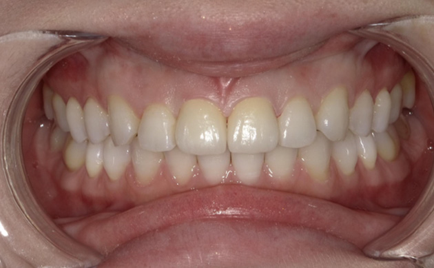
開咬の歯並びに悩まれた患者様
この症例の詳しい紹介へ性別 40代女性 治療期間・回数 2か月 治療費用 総額:66万円(税込)
- ・インプラントにはインプラント周囲炎といって清掃不足による歯周病になる可能性があるため、自宅でのセルフケアやクリニックでのケアが必要となってきます。
- ・セラミックは美術品ではありません。破折のリスクがあります。
- ・疼痛、咬合時痛、冷水痛、温水痛、場合によっては神経の治療、抜歯を必要とする場合もあります。
- ・歯並びが変わることにより、違和感が生じる場合もあります。
- ※詳しくは各症例詳細をご確認ください
※治療結果には個人差があります。
※掲載には患者様の同意をいただいています。
PRICE
料金案内
大井町フラミンゴ歯科の診療料金についてご案内します。
保険診療・自費診療の費用目安をわかりやすく掲載していますので、治療をご検討の際の参考にしてください。
Q&A
よくあるご質問
大井町フラミンゴ歯科に寄せられる、治療や料金に関する「よくあるご質問」をまとめました。
初診時の費用、インプラント・矯正治療の費用やお支払い方法など、患者様から特に多くいただく疑問にわかりやすくお答えしています。
ご不明点はどうぞお気軽にご相談ください。
-
Q.
初めて受診する際は、予約が必要ですか?
-
はい、初めての方もご予約をいただくとスムーズにご案内が可能です。
お電話・WEB予約フォーム・LINEからご都合のよい方法でご予約ください
急なお痛みや腫れなど、緊急の場合は可能な限り当日の対応も行っておりますので、遠慮なくご相談ください。 -
Q.
初診時にはどのくらい時間がかかりますか?
-
初診の方は、問診・検査・カウンセリングなどを含めて約60分前後お時間をいただいています。
お口全体の状態を正確に把握したうえで、最適な治療計画をご提案いたします。 -
Q.
保険証や持ち物は何が必要ですか?
-
健康保険証をお持ちください。
お薬を服用中の方は「お薬手帳」もご持参いただけると安心です。
紹介状や過去の治療資料がある場合も、参考になりますのでご持参ください。 -
Q.
保険診療と自費診療の違いはなんですか?
-
保険診療は国が定めた範囲内で、機能の回復を目的とした治療です。
一方、自費診療は見た目の美しさやより高精度な治療を希望される場合に選ばれることが多く、素材や方法の選択肢が広がります。
当院ではそれぞれの特徴を丁寧にご説明し、患者様に合った治療を一緒に考えます。
CONTACT
お問い合わせ・
ご予約はこちらから
-
-
無料カウンセリング・WEB予約
WEB予約はこちら -
LINEで簡単予約できます!
LINE予約はこちら






