CASE
審美治療の症例
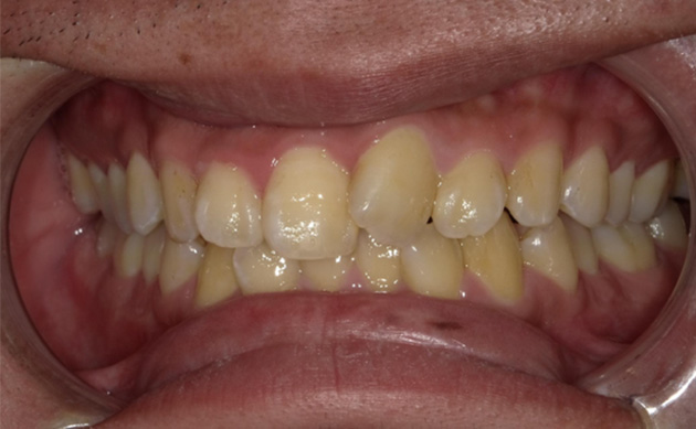
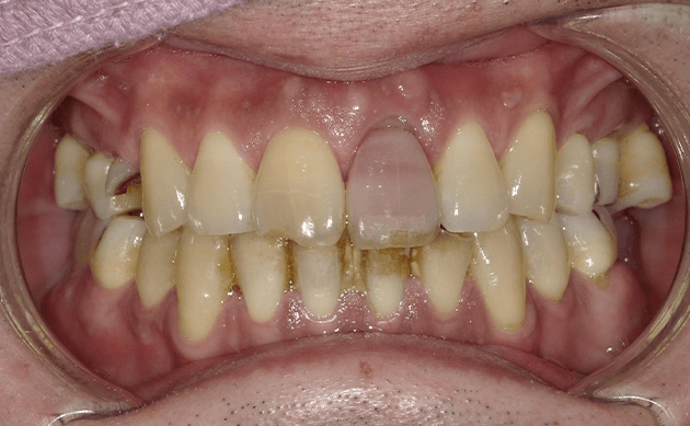
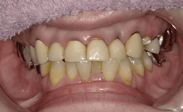
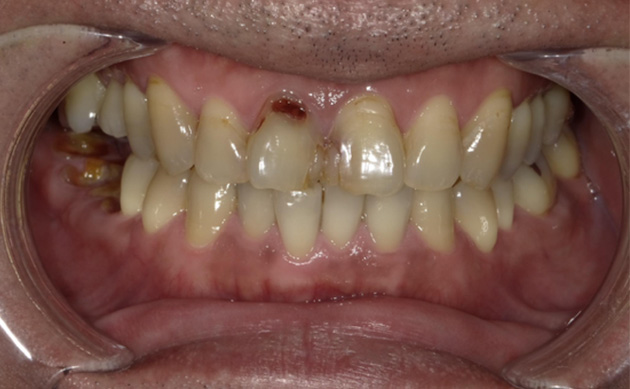
品川区大井町フラミンゴ歯科で行った審美治療の症例をご紹介します。
「他院で断られた」「骨が少ない」など難症例に対応したケース、抜歯即時埋入・仮歯装着など、患者様の状態に合わせた多様な治療実績をご覧いただけます。
CONTACT
お問い合わせ・
ご予約はこちらから
-
-
無料カウンセリング・WEB予約
WEB予約はこちら -
LINEで簡単予約できます!
LINE予約はこちら