MENU CLOSE

電話予約 LINE予約

CASE

審美治療の症例

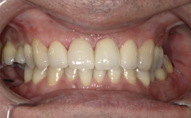
忙しさで歯科医院に通えず、前歯のむし歯を10年以上放置してしまった患者様

忙しさで歯科医院に通えず、前歯のむし歯を10年以上放置してしまった患者様 忙しさで歯科医院に通えず、前歯のむし歯を10年以上放置してしまった患者様

スライダを左右にドラッグして画像を比較できます

セラミック治療

前歯に虫歯がある事は分かっていたけど、忙しくて歯科医院にも中々通えず10年以上放置治療を放置してしまった患者様の治療です。
虫歯を治療する時の音が嫌い、麻酔の注射が嫌い、短期間で治したいと初回カウセリングの時におっしゃっていてなんとか短期間で治す方法はないのか?と希望を持たれて当院に来院されたそうです。
なるべく痛くなく、短期間で美しく仕上がるように治療計画を立案しました。
痛みに配慮するため静脈内鎮静法を併用しています。
当院では治療後のQOLの向上を最も大切にしています。
治療によって社会生活における自信を取り戻し、以前よりも活動的になれるようにサポートすることが私達の目標です

性別 40代・男性
治療期間・回数 4か月
治療費用 総額:79万円(税込)

リスク・副作用など

  • ・疼痛、咬合時痛、冷水痛、温水痛、場合によっては神経の治療、抜歯を必要とする場合もあります。
  • ・セラミックは美術品ではありませんので、欠けることもあります。
  • ・歯並びが変わることにより、違和感を生じる場合もあります。など

※治療結果には個人差があります。

※掲載には患者様の同意をいただいています。

セラミック治療について
症例一覧へ

Q&A

審美治療のよくある質問

Q.

セラミック矯正の治療期間はどのくらいですか?

セラミック矯正の治療期間は、一般的に1〜3ヶ月ほどが目安です。
大井町フラミンゴ歯科では、これまでに1万本以上のセラミック治療実績があり、豊富な経験と高い技術により、初回当日から仮歯で歯並びを整えることも可能です。
ワイヤー矯正のように歯を動かすのではなく、歯の形や角度をセラミックでデザインして整える方法のため、骨や歯肉の移動に時間がかからず、短期間で見た目を改善できます。

【短期間でも自然に仕上がる理由】
治療の初期段階では、仮歯を装着して噛み合わせや発音、見た目のバランスを確認します。
この仮歯の時点から、歯の形・長さ・色味を細かく調整し、口元全体の印象(スマイルライン)を整えるため、自然で美しい仕上がりを目指せます。
また、当院では審美歯科専門の歯科技工士と院長が直接連携しながらセラミックを製作。

仮歯データをもとに精密に仕上げるため、再調整の手間が少なく、通院回数を抑えながらスムーズに治療を完了できます。
「結婚式や撮影が近い」「短期間で印象を変えたい」という方も、まずはお気軽にご相談ください。
お口の状態に合わせて、最適なスケジュールと治療プランをご提案いたします。

Q.

セラミック矯正ではどのくらい歯を削るのですか?神経への影響はありませんか?

セラミック矯正では、歯の表面を平均0.8〜1.5mmほど削るのが一般的です。
この範囲であれば、多くのケースで神経(歯髄)を残したまま治療が可能です。
 エナメル質の厚み(約1.0mm)を超えない範囲にとどめることで、歯の安全性を保ちながら自然な仕上がりを得られます。

【神経を守る“最小限の削合設計”】
大井町フラミンゴ歯科では、削る量を最小限に抑え、できる限り神経を残す治療を基本としています。
3Dスキャナーと顔貌分析を使って、どの部分をどの程度削るかを0.1mm単位でデジタル設計。
 さらに、技工士が製作する「プリパレーションガイド」で削合量をコントロールし、削りすぎを防ぎます。
歯の位置や状態によっては、ほとんど削らないラミネートベニア法(0.2〜0.5mm)を選択することもあり、神経をほぼ100%残せます。

神経を残すことで、
・歯の寿命が延びる
・自然な透明感が保たれる
・温度や噛む感覚が残る
といったメリットが得られます。

当院では、見た目の美しさだけでなく、歯の生命力を守る「低侵襲セラミック矯正」を行っています。
「削るのが怖い」「神経を残したい」という方も、安心してご相談ください。

Q.

セラミック矯正の見た目は自然に仕上がりますか?

セラミック矯正に興味はあるけれど、「白すぎて不自然にならないか」「自分に似合う仕上がりになるか」と不安に感じる方も多いと思います。
実際、SNSなどで見る一様に白い歯や形のそろいすぎた歯に抵抗を持つ方も少なくありません。
大井町フラミンゴ歯科では、実績豊富な審美歯科技工士と密に連携し、顔全体とのバランスを考えた自然な美しさを再現しています。

【自然な見た目をつくる3つのポイント】
・色と透明感
歯の根元から先端にかけて自然なグラデーションをつけ、光をやわらかく透過させます。
・形と質感
わずかな非対称や表面の微細な凹凸を再現し、人工的なツルツル感を防ぎます。
・顔全体との調和
唇のカーブや笑顔のライン、肌や目の色調と調和するように設計します。

当院では、写真や動画をもとにAI顔貌分析を行い、技工士と歯科医師が共同でデザインを検討します。仮歯の段階から光の当たり方や笑顔の印象を確認し、最終的なセラミックを微調整。また、素材は前歯部に適したe.maxや透過型ジルコニアを使い分け、自然な透明感と強度を両立させています。
白さの基準も一律ではなく、肌の色や表情に合わせた“その人に似合う白さ”を設計。
AI色彩診断システムで最適なトーンを分析し、自然で調和のとれた仕上がりを実現します。

よくある質問をもっと見る

CONTACT

お問い合わせ・
ご予約はこちらから