前医で入れたセラミックが長い…歯茎の形まで美しくできますか?(30代女性)
- セラミックやり直し相談集
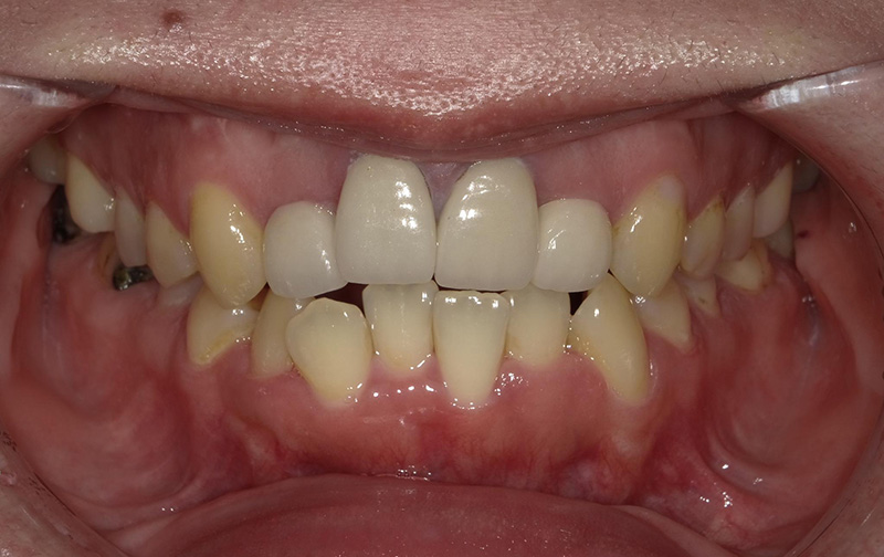
前医で行った前歯のセラミックをしたら、歯を長くされてしまったためご相談にいらした患者様(I・H様)【30代女性】
前歯を綺麗にしたくてセラミックにしたが形が気に入らず、やり直したら美しく仕上げる事は可能かどうかのご相談に来てくださいました。
患者様情報
年代・性別 30代女性
ご相談内容 セラミックを歯茎の形を含めて美しくできますか?
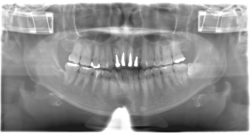
レントゲン、口腔内写真


セラミック治療を進めていく際には、患者様の目指しているゴールを明確にして、あとは根のコンディションがどうなのか?歯茎のコンディションはどうなのか?を考慮して、最終的なゴールを決めていきます。
初診の診断
- 口腔内写真撮影
- パノラマレントゲン撮影
- CT撮影
- 問診
上記の診断を行った上で、後日精密な診断を行っていきます。
患者様のやり取り
歯科医師
桒水流
こんにちは!歯科医師の桑水流です!
よろしくお願いします!
本日はどうされましたか?
一年前くらいに他院で前歯4本のセラミック矯正を行ったんですけど、歯が長く仕上げられて形が気に入らず、先生のインスタグラムを拝見して先生なら美しく仕上げる事ができるのか?と気になり受診しました。
患者様
歯科医師
桒水流
そうだったんですね。ありがとうございます。
それではまず、口腔内写真撮影とレントゲン写真を撮影しましょう。
宜しくお願い致します。
患者様
歯科医師
桒水流
(撮影が終わって)検査お疲れ様でした。
確かに前歯2本とても長く作られてしまっていますね。
この状態だと大きく口を開けて笑う事も難しいですよね?
そうなんです。
セラミックで治したのに大きく口を開けれなくて…
患者様
歯科医師
桒水流
そうですよね。
セラミックの形とスマイルラインを美しくしたいということでしょうか?
はい。美しく仕上げる事が可能であればやり直しをしてもらいたいです。
患者様
歯科医師
桒水流
わかりました。2通りやり方がありまして、一つ目は歯肉移植です。一つ目は結合組織移植術といいまして歯茎を上顎奥歯の方からもってきて、前歯に移植するというやり方です。外科処置を伴うので痛みを伴いますし、少し治療期間がかかりますが仕上がりはとても美しくなります。二つ目はピンクポーセレンをしようしたセラミッククラウンの作成です。こちらはセラミックに歯茎の部分を作るというやり方で外科処置を伴わずに簡易に行うことができます。
そんなやり方があるのですね。以前の歯科医院では説明されなかったです。外科処置は少し怖いのでピンクポーセレンの使用をお願いしたいです。
患者様
歯科医師
桒水流
承知しました。では次回精密診断から治療を開始しましょう。
是非よろしくお願いします。
患者様