MENU CLOSE

CASE

インプラント治療の症例

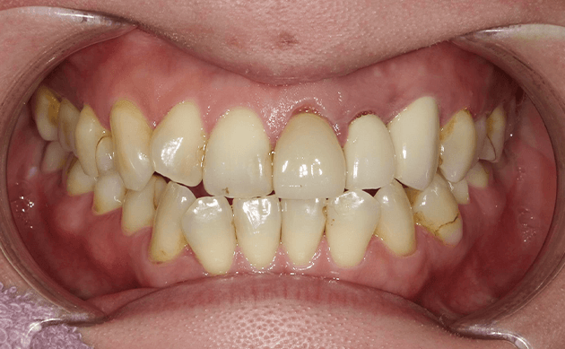
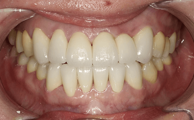
長年前歯の見た目に悩まされていた方の治療

長年前歯の見た目に悩まされていた方の治療 長年前歯の見た目に悩まされていた方の治療

スライダを左右にドラッグして画像を比較できます

長年前歯の見た目に悩まされていた方の治療です。
『打ち合わせ中に口元を気にせず話したい』という切実な希望をお持ちでした。
患者様の『人前で話す不安』を解消するため、単に見た目だけでなく、自然に笑える機能回復を最優先目標として治療計画を立案しました。
当院では治療後のQOLの向上を最も大切にしています。
治療によって社会生活における自信を取り戻し、以前よりも活動的になれるようにサポートすることが私達の目標です。

性別 30代・女性
治療期間・回数 4か月
治療費用 総額:330万円(税込)

リスク・副作用など

  • ・外科処置が伴うため術後に痛みや腫れ、出血を伴います。
  • ・インプラントにはインプラント周囲炎といって清掃不足による歯周病になる可能性があるため、自宅でのセルフケアやクリニックでのケアが必要となってきます。
  • ・セラミックは美術品ではありません。破折のリスクがあります。
  • ・歯並びが変わることにより、違和感が生じる場合もあります。
  • ・疼痛、咬合時痛、冷水痛、温水痛、場合によっては神経の治療、抜歯を必要とする場合もあります。

※治療結果には個人差があります。

※掲載には患者様の同意をいただいています。

インプラント治療 について
症例一覧へ

COLUMN

インプラント治療に関するコラム

コラムをもっと見る

Q&A

インプラントのよくある質問

Q.

インプラントは誰でも受けれる?高齢者でも大丈夫?

全身の健康状態が安定していれば、年齢に関係なくインプラント治療は可能です。
実際に60代・70代の患者様も多く、しっかり噛めるようになったことで「食事が楽しくなった」と感じる方もいらっしゃいます。
大切なのは“年齢”ではなく、“お口と体の健康状態”です。

治療の可否を判断する際には、まず顎の骨の状態を確認します。
骨の厚みや密度が足りない場合は、「骨造成(こつぞうせい)」などの前処置を行うことで対応できます。
また、糖尿病や心疾患、高血圧といった持病がある方も、症状が安定していれば治療を受けられるケースが多く、当院では主治医と連携して安全に進めます。

喫煙は骨の治りを遅らせる可能性があるため、治療前後の禁煙をおすすめしています。
一方で、喫煙以外に年齢制限はなく、しっかり診査・診断を行えば高齢の方でも十分に治療可能です。

大井町フラミンゴ歯科では、CT撮影による骨の立体的な評価と全身の健康チェックを行い、患者様ごとに無理のない治療計画を立てています。
「年齢が心配」「持病がある」と感じている方も、まずはカウンセリングでお気軽にご相談ください。
状態に合わせて最適な治療法や他の選択肢も含めてご提案いたします。

Q.

インプラントの手術中は痛みがありますか?

インプラント手術は、麻酔をしっかり効かせた状態で行うため、手術中に痛みを感じることはほとんどありません。
多くの方が「思っていたよりも楽だった」とお話しされています。

当院では、治療内容や体調、不安の度合いに応じて、最も適した麻酔方法を選択しています。
一般的に多く用いられるのは、虫歯治療でも使われる局所麻酔です。
治療部位だけを確実に麻酔し、痛みを抑えながら処置を進めます。

また、不安が強い方や長時間の手術になる場合には「静脈内鎮静法(セデーション)」を併用します。
うたた寝をしているようなリラックスした状態で手術を受けられる方法で、「気づいたら終わっていた」と感じる方も多いです。

麻酔が切れたあとに、軽い違和感や腫れ、鈍い痛みを感じる場合がありますが、多くは一時的な反応で、処方された痛み止めを服用すれば数日で落ち着きます。
手術自体は1本あたり30分〜1時間ほどで完了し、想像以上に体への負担は少ないのが実際です。

大井町フラミンゴ歯科では、事前にCT撮影で神経や血管の位置を正確に把握し、無理のない安全な治療計画を立てています。
「手術が怖い」「痛みに弱い」という方でも安心して受けられるよう、落ち着いた環境と丁寧な麻酔管理でサポートしています。
まずはカウンセリングで、不安な点をお気軽にご相談ください。

Q.

インプラント治療が完了するまでにはどれくらいの期間がかかりますか?

インプラント治療の期間は、骨の状態や治癒のスピード、治療方法によって異なりますが、一般的には「手術から最終の人工歯(被せ物)が入るまで」およそ3〜6か月が目安です。
ただし、近年は技術の進歩により、より短期間で治療を完了できるケースも増えています。

大井町フラミンゴ歯科では、体への負担を少なく安全に進められる「低侵襲インプラント治療(Minimal Invasive Implant Surgery)」を採用しています。
世界的に信頼性の高いストローマン社製・オステム社製インプラントを使用しており、骨とチタンがしっかり結合する「オッセオインテグレーション(骨結合)」までの期間が比較的短く、条件が整えば最短3か月ほどで治療を完了できる場合もあります。

また、骨を削るのではなく圧縮して密度を高める「オッセオデンシフィケーション技術」を導入。
骨の安定性を高めることで、治癒期間の短縮と高い成功率の両立を実現しています。こうした取り組みにより、「短期間でもしっかり噛めるようになる」治療を目指しています。

治療期間に影響する要素としては、顎の骨の厚みや密度、骨造成の有無、全身の健康状態、喫煙習慣、噛み合わせの状態などがあります。
当院ではCT検査でこれらを正確に診断し、患者様ごとに最適なスケジュールを立てています。
早く治したい方も、まずは安全なペースで無理のない治療計画を立てることが大切です。

「治療期間が長そうで不安」という方も、CT検査とカウンセリングで現状を把握すれば、どのくらいの期間で完了できるか明確になります。
大井町フラミンゴ歯科では、短期間・高精度・低リスクのインプラント治療を実現し、一人ひとりに合った安全な治療プランをご提案しています。

よくある質問をもっと見る

CONTACT

お問い合わせ・
ご予約はこちらから