根管治療後10年以上経過し、噛む痛みで抜歯と診断された患者様(40代男性)
- インプラント相談集
10数年前に左下奥歯の根管治療を行い問題なく過ごしていたが、急に噛むと痛みがある違和感が発生し、自宅近くの歯科医院を受診し抜歯を宣告されてしまった患者様(K・K様)【40代男性】
左下の奥歯が痛くて、別の歯科を受診されたそうですが、抜歯を宣告されてしまい抜くのであればインプラント専門のクリニックで行いたいとのことで当院に相談にいらっしゃいました。
患者様情報
年代・性別 40代男性
ご相談内容 左下の奥歯が痛くて、別の歯科を受診されたそうですが、抜歯を宣告されてしまい抜くのであればインプラント専門のクリニックで行いたいとのご相談

「歯を抜かなければいけない」歯科医師にとって歯を抜く事は日常的な処置ではありますが患者様にとっては大きな問題です。
歯を抜くことになってしまった場合、まずしなければいけない事は抜いたあとどのようにその部分を補わないといけないかを考える治療計画です。
無計画に抜いてしまい、当該部位を放置してしまうと口腔内崩壊のはじまりになってしまう可能性があるからです。
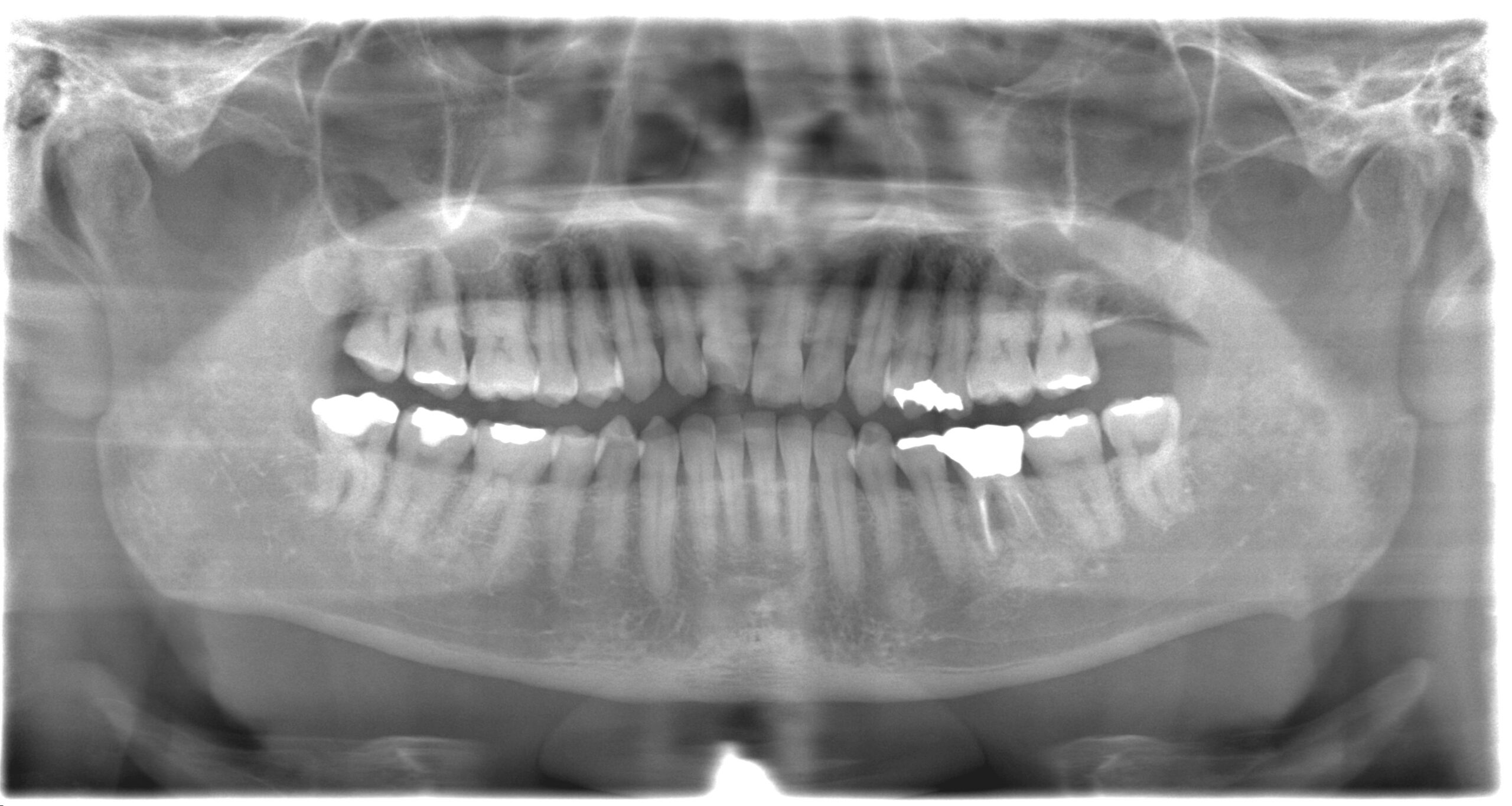
初診の診断
- パノラマレントゲン撮影
- CT撮影
- 問診
歯科医師
桒水流
こんにちは!歯科医師の桑水流です!
本日はどのようなお悩みで来院されましたか?
左下の奥歯が割れてしまったみたいで前の歯医者で抜歯を宣告されてしまい、抜歯すらならインプラント専門で行ってるところがいいと思い検索して相談に来させていただきました。
患者様
歯科医師
桒水流
そうでしたか。御相談にきていただきありがとうございます。まずはレントゲンを撮って調べてみましょう。
よろしくお願いします。
抜いてインプラントで大丈夫なんですが、麻酔が怖いので眠った状態でやってもらいたいです。
患者様
歯科医師
桒水流
静脈内麻酔鎮静法ですね。かしこまりました。検査後に合わせて説明していきますね。
〈検診後〉
検査お疲れ様でした。
確かに根元が割れてしまっていて、抜歯が必要そうですね。
そうなんです。痛くなくできますか?
患者様
歯科医師
桒水流
はい、そのお気持ち、とてもよく分かります。
そういった方のために “静脈内鎮静法” という方法があります。
静脈内鎮静法って、全身麻酔とは違うんですか?
患者様
歯科医師
桒水流
はい、違います。
全身麻酔のように完全に意識を失うわけではありませんが、
ウトウトと眠っているような、とてもリラックスした状態になります。
じゃあ、痛みは感じないんですか?
患者様
歯科医師
桒水流
ご安心ください。
静脈内鎮静法を行ったうえで、通常の局所麻酔もしっかり併用します。
そのため痛み、音、 振動、時間の感覚
これらは ほとんど覚えていない方が大半です。
本当に眠っている間に終わった感じなんですか?
患者様
歯科医師
桒水流
はい、多くの患者さんが
『気づいたら終わっていました』
『え、もう終わったんですか?』
とおっしゃいます。
安全性は大丈夫なんでしょうか…?
患者様
歯科医師
桒水流
とても大切なポイントですね。
静脈内鎮静法は、心拍数、血圧、酸素濃度を常にモニターで管理しながら行います。麻酔の量も、その方の体格・年齢・持病に合わせて細かく調整します。
治療後はすぐ帰れますか?
患者様
歯科医師
桒水流
治療後は少し院内で休んでいただきます。
ふらつきが落ち着いてからお帰りいただきますが、
当日はお車や自転車の運転はできませんので、その点だけご注意ください。
なるほど…それなら安心できそうです。
患者様
歯科医師
桒水流
はい。“怖くない状態で、安全に治療を受けていただく”それが静脈内鎮静法の一番の目的です。不安なことは、どんな小さなことでも遠慮なく聞いてくださいね。
わかりました。よろしくお願いします。
患者様
歯科医師
桒水流
では次回精密検査から開始しましょう。
よろしくお願いします。
患者様
まとめ
静脈内鎮静法は
眠っているようなリラックス状態で、怖さや記憶をほとんど感じずに治療を受けられる方法」です。
不安が強い方でも、安心して抜歯やインプラント治療を受けていただけます。