右下に永久歯が生えず乳歯を使用してきたが、限界を迎え改善したいとご希望の患者様(50代男性)
- インプラント相談集
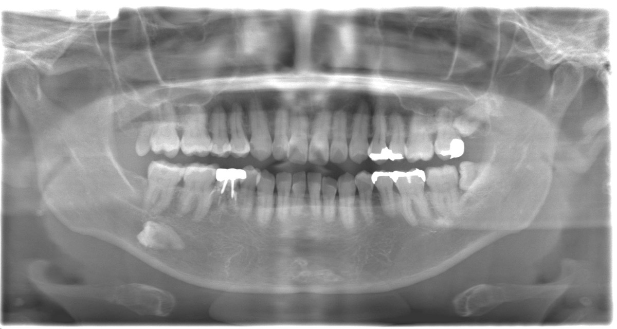
右下に永久歯が生えてこなかった場所に乳歯が残っていて、なんとかごまかし使ってきたが限界を迎えたので治してほしいと希望された患者様【50代男性】
患者様情報
年代・性別 50代男性
ご相談内容 右下の永久歯がもともと生えておらず、乳歯がそのまま残っていた。長年問題なく使ってきたが、最近ぐらつきと歯ぐきの減少が進み「もう限界ではないか」と不安になり来院。
永久歯が先天的に存在しない場合、乳歯が大人になっても残ることがあります。乳歯は本来「一時的な歯」であり、成人後は根が短く耐久性も低いため、40〜50代で突然限界を迎えるケースは珍しくありません。
さらに長年の負担や歯周変化により、角化歯肉(丈夫な歯ぐき)が減少している場合は、インプラントや保存治療の前に歯肉の再建(結合組織移植)が必要になることもあります。

歯科医師
桒水流
こんにちは、歯科医師の桑水流です。本日はどうされましたか?
右下の歯なんですが…実は子どもの歯のままなんです。ずっと使えてたんですが最近グラグラしてきて…。
患者様
歯科医師
桒水流
レントゲンを確認しました。確かに永久歯が存在せず、乳歯が残っていますね。成人まで残ること自体はありますが、50代になると耐久的に厳しくなることが多いです。
やっぱりもうダメですか?
患者様
歯科医師
桒水流
残念ながら、この乳歯は根が短く、周囲の骨も減ってきています。長期的に残すのは難しい可能性が高いです。
抜いたらその後どうなりますか?
患者様
歯科医師
桒水流
選択肢はあります。
・インプラント
・ブリッジ
・入れ歯
ただし今回は一つ重要なポイントがあります。
何でしょう?
患者様
歯科医師
桒水流
この部分、歯ぐきの“角化歯肉”がかなり減っています。歯ぐきが薄い状態のままインプラントを入れると、将来的に炎症や後退が起きやすくなります。
じゃあインプラントできないんですか?
患者様
歯科医師
桒水流
できます。ただし先に歯ぐきを増やす処置を行う方が安全です。具体的には“結合組織移植”という方法です。
歯ぐきを移植するんですか?
患者様
歯科医師
桒水流
上あごの内側などから結合組織を採取し、歯ぐきが薄い場所に移植して厚みを増やします。これにより
・炎症に強くなる
・歯ぐきが下がりにくくなる
・インプラントの長期安定性が向上する
というメリットがあります。
そんな治療があるんですね…。
患者様
歯科医師
桒水流
歯周外科では標準的な方法で、歯周病学の教科書や臨床研究でも、角化歯肉の増大は長期予後の改善に有効と報告されています。
順番としてはどうなりますか?
患者様
歯科医師
桒水流
基本的には
①乳歯の抜歯
②必要に応じて骨・歯肉の回復待ち
③結合組織移植で歯ぐき増強
④インプラント(または他補綴)
この流れで計画します。
ちゃんと長く使えるようにしたいです。
患者様
歯科医師
桒水流
そのお気持ちが一番大切です。今回は“とりあえず入れる”ではなく、“長く安定する条件を整える”治療を一緒に考えましょう。
お願いします。
患者様
患者様へのまとめメッセージ
永久歯が存在せず乳歯が残っているケースでは、成人後に突然限界を迎えることがあります。
その際は単に歯を補うだけでなく、骨の量・歯ぐきの厚み(角化歯肉)を評価し、必要なら結合組織移植を行うことで長期安定性を高めることが可能です。
「もう無理かも」と感じた時こそ、治療計画が重要です。不安なことはどんな小さなことでもご相談ください。