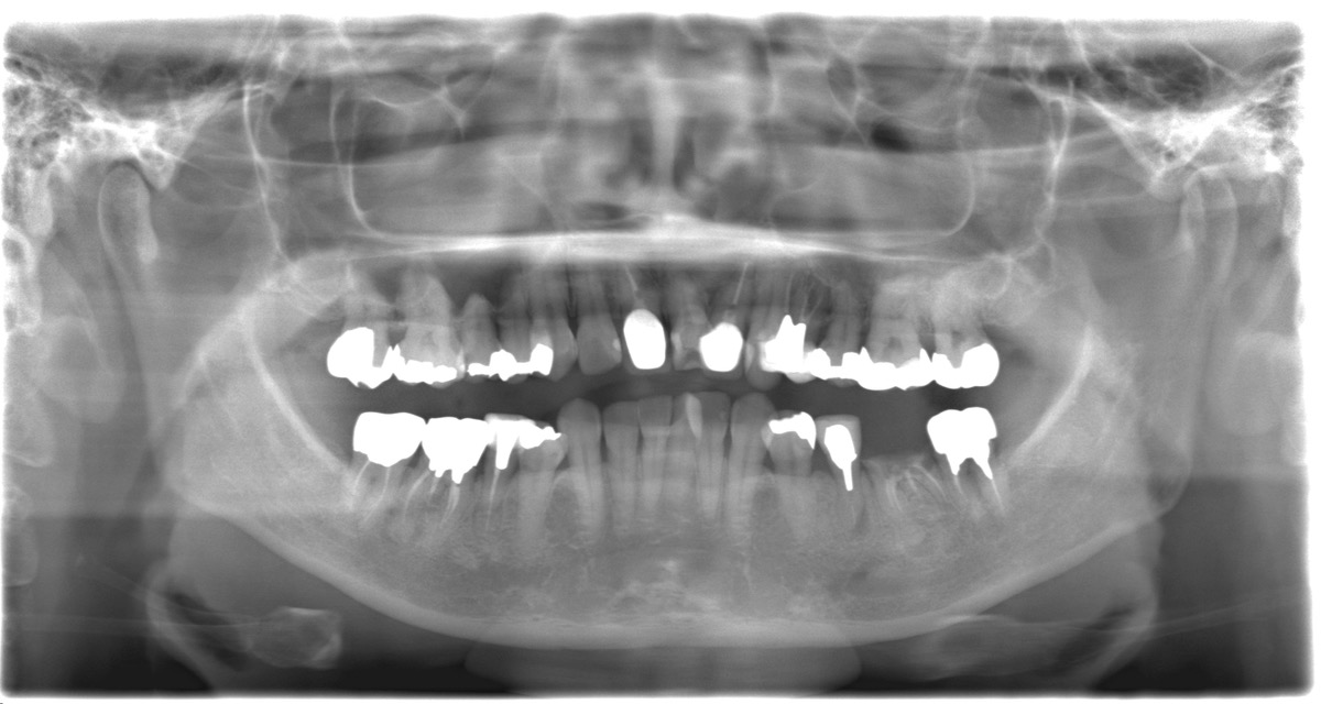
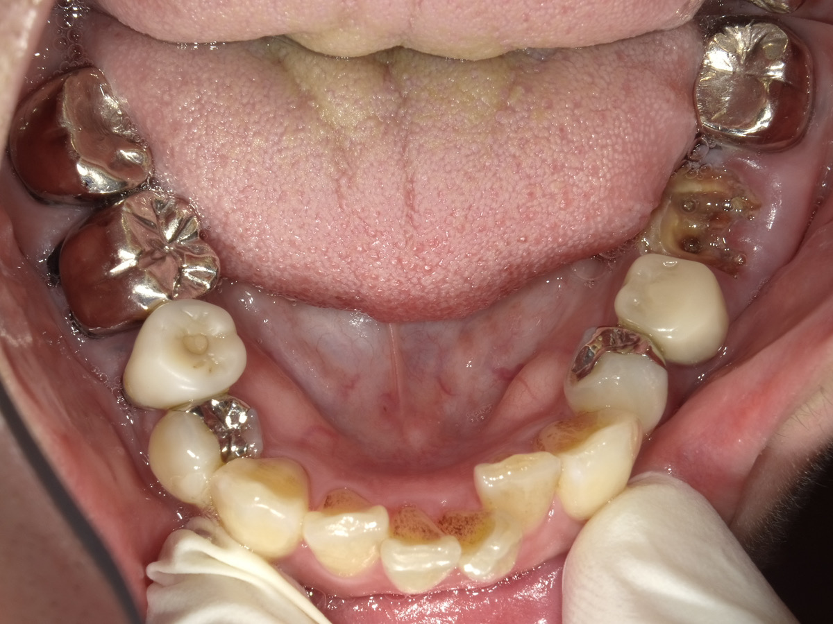
左下奥歯の被せ物が土台ごと取れた…どうにかしたいと相談に来られた患者様(40代女性)
- インプラント相談集
左下奥歯の被せ物が土台ごと取れてしまい、どうにかならないかと相談に来られた患者様【40代女性M・Aさん】
患者様情報
年代・性別 40代女性
ご相談内容 左下奥歯の被せ物が土台ごと取れてしまいどうにかならないかと相談に来られました
「歯を抜かなければいけない」歯科医師にとって歯を抜く事は日常的な処置ではありますが患者様にとっては大きな問題です。
歯を抜くことになってしまった場合、まずしなければいけない事は抜いたあとどのようにその部分を補わないといけないかを考える治療計画です。
無計画に抜いてしまい、当該部位を放置してしまうと口腔内崩壊のはじまりになってしまう可能性があるからです。


歯科医師
桒水流
こんにちは!歯科医師の桑水流です!
本日はどのようなお悩みで来院されましたか?
先生、左下の奥歯の被せ物が取れてしまって…。
できれば、抜歯だけは避けたいんですが…
患者様
歯科医師
桒水流
そうですよね。
突然取れると不安になりますよねし、できることなら歯は残したいですよね。
まずは、今の状態を分かりやすく説明しますね。
もう抜かないといけない状態なんでしょうか?
患者様
歯科医師
桒水流
現時点では、まだ抜歯と決まったわけではありません。
被せ物が取れた理由によっては、歯を残せる可能性も十分あります。
どうして被せ物が取れてしまったんですか?
患者様
歯科医師
桒水流
考えられる原因はいくつかあります。
• 被せ物の中で虫歯が進んでいる
• 被せ物を支えている歯が弱くなっている
• 接着剤が長年の使用で劣化している
といったケースが多いですね。
これから中の歯の状態をしっかり確認していきます。
歯が割れていたら、やっぱり抜歯ですか?
患者様
歯科医師
桒水流
割れ方によります。
歯の根まで大きく割れている場合は抜歯が必要になることもありますが、
軽度であれば、歯を残せる治療ができるケースも少なくありません。
残せる場合は、どんな治療になりますか?
患者様
歯科医師
桒水流
例えば、
• 虫歯をきれいに取り除いて新しい被せ物を作る
• 歯の土台を補強して被せ直す
• 必要に応じて根の治療を行ってから被せ物を作る
といった選択肢があります。“できる限り歯を残す方向”で治療計画を考えます。
すぐに抜く判断はしないんですね?
患者様
歯科医師
桒水流
はい。残せる可能性がある歯を、いきなり抜くことはありません。
レントゲンやお口の中の状態を確認したうえで、
• 歯を残せるかどうか
• 残した場合のメリット・リスク
• 今後の見通し
を正直にお伝えします。
もし、どうしても残せなかった場合は…?
患者様
歯科医師
桒水流
その場合も、すぐに決めることはありません。
• なぜ抜歯が必要なのか
• 抜歯後の治療方法(ブリッジ・入れ歯・インプラントなど)
• それぞれのメリット・デメリット
をしっかり説明したうえで、一緒に選択していきます。
少し安心しました。
患者様
歯科医師
桒水流
それは良かったです。“できるだけ歯を残したい”というお気持ちは、私たちも同じです。まずは左下の奥歯の状態を正確に調べて、その歯にとって一番いい方法を一緒に考えていきましょう。
ありがとうございます。よろしくお願いします。
患者様
患者様へのまとめメッセージ
左下の奥歯の被せ物が取れても、すぐに抜歯が必要とは限りません。
歯の状態を正確に確認し、残せる可能性があれば保存を最優先で考えます。
不安なことは、どんな小さなことでも遠慮なくご相談ください。