左上奥歯の抜歯が必要、骨がなくインプラント困難と言われた患者様(50代女性)
- インプラント相談集
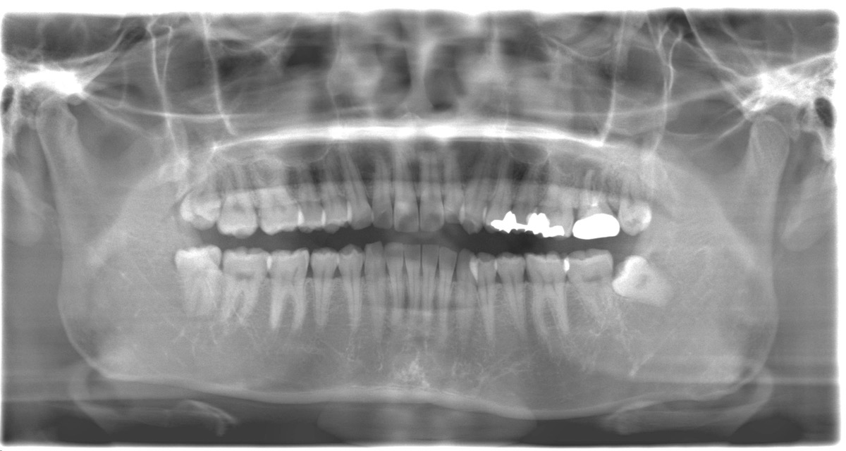
左上の奥歯が膿んでしまい、抜く必要があると前医で言われたが、骨がないからインプラントは難しいと言われてしまった相談に来られた【50代女性】
患者様情報
年代・性別 50代女性
ご相談内容 左上奥歯が膿んでしまい、前医で「抜歯が必要」「骨が少なくインプラントは難しい」と言われ不安になり相談に来院
「歯を抜かなければいけない」これは患者様にとって非常に大きな決断です。
さらに「骨がないからインプラントはできない」と言われてしまうと、治療の選択肢がなくなったように感じてしまいます。
しかし実際には、骨を増やす処置(骨造成)を行うことでインプラントが可能になるケースは少なくありません。特に上の奥歯では、ソケットリフト・サイナスリフトという方法があります。

歯科医師
桒水流
こんにちは!歯科医師の桑水流です。今日はどうされましたか?
左上の奥歯が膿んでしまって…。前の歯医者で抜歯と言われました。しかも骨がないからインプラントは難しいって…。
患者様
歯科医師
桒水流
それは不安になりますよね。まず安心していただきたいのは、“骨が少ない=インプラント不可能”とは限らないという点です
そうなんですか?もう無理だと思っていました…。
患者様
歯科医師
桒水流
上の奥歯は、上顎洞(空洞)が近いため、骨が薄くなりやすい場所なんです。抜歯後や感染で骨が減ってしまうことも珍しくありません。
だから骨が足りないと言われたんですね。
患者様
歯科医師
桒水流
はい。ただし、その場合でも骨を増やす治療があります。代表的なのが
・ソケットリフト(比較的少量の骨不足)
・サイナスリフト(骨がかなり少ない場合)
です。
骨を増やせるんですか?
患者様
歯科医師
桒水流
可能です。上顎洞の底を少し持ち上げて、そこに骨補填材を入れて骨を作ります。骨が安定した後にインプラントを入れることで、しっかり固定できます。
そんな方法があるなんて知りませんでした…
患者様
歯科医師
桒水流
一般的な治療なので特別珍しいものではありません。多くの学術論文でも、上顎洞底挙上術はインプラント成功率を高める有効な方法とされています(※インプラント学会・口腔外科学教科書等)。
痛みとかは大丈夫ですか?
患者様
歯科医師
桒水流
静脈内鎮静なども併用できますし、処置中の痛みはしっかりコントロールできます。術後も通常の抜歯程度の腫れで収まることがほとんどです。
じゃあ、インプラントを諦めなくていいんですね?
患者様
歯科医師
桒水流
はい。まずはCTで骨量を正確に測定し、ソケットリフトで足りるのか、サイナスリフトが必要かを判断します。そのうえで最適な方法を一緒に決めましょう。
少し希望が見えました。お願いします。
患者様
歯科医師
桒水流
もちろんです。“できる選択肢を全て提示する”のが大切ですからね。
ありがとうございます。よろしくお願いいたします。
患者様
患者様へのまとめメッセージ
左上奥歯は骨が不足していると言われやすい部位ですが、骨造成(ソケットリフト・サイナスリフト)を行うことでインプラントが可能になるケースは多くあります。
「骨がないから無理」と言われても、治療の選択肢がゼロとは限りません。
CTによる正確な診断のうえで、最適な方法を一緒に検討していきましょう。
不安なことは、どんな小さなことでも遠慮なくご相談ください。