セラミックを用いて全顎的に審美修復した症例
治療前

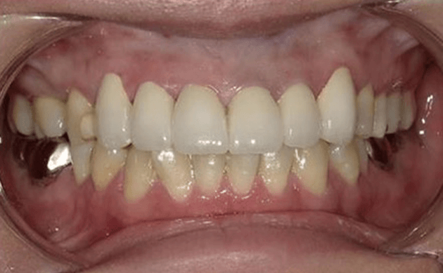
治療後

こちらの患者様は、全顎的な虫歯の治療・歯並びを改善したいとの主訴で来院されました。下顎両方の4番・5番以外をオールジルコニアセラミックで修復いたしました。
※かみ合わせの安定、歯茎の調整により約3週間仮歯で過ごしていただきました。
| 治療期間・回数 | 4ヵ月(10回) |
|---|---|
| 治療費用 | オールジルコニアセラミック:2,904,000円/税込 (121,000円×24本) |
| リスク・副作用等 | ・疼痛、咬合時痛、冷水痛、温水痛、場合によっては神経の治療、抜歯を必要とする場合もあります。 ・セラミックは美術品ではありませんので、欠けることもあります。 ・歯並びが変わることにより、違和感が生じる場合もあります。など |