DENTURES
入れ歯・義歯
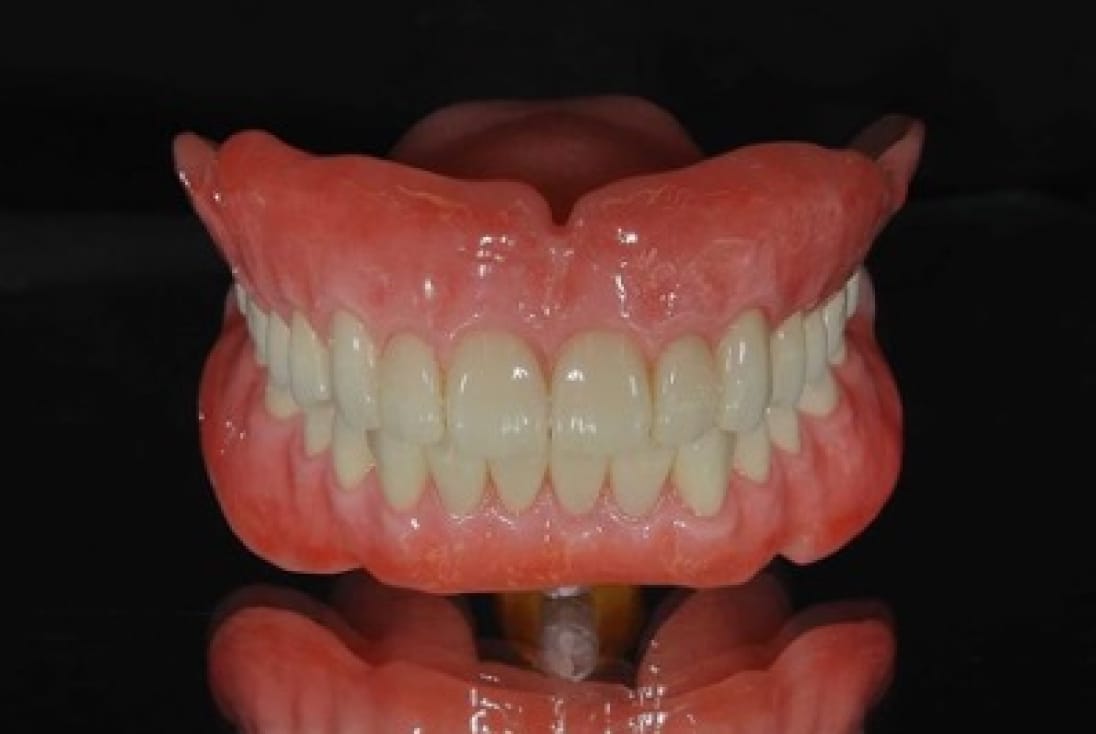
品川区・大井町で「審美性・適合性・機能性」を追求した入れ歯治療
品川区の大井町フラミンゴ歯科では、 「入れ歯が目立って気になる」「しっかり噛めない」「すぐ外れてしまう」など、さまざまな入れ歯の悩みの解消を目指し、 保険・自費を問わず豊富な素材を取り揃え、製作工程にも徹底的にこだわり、見た目の自然さ(審美性)・お口に合うフィット感(適合性)・しっかり噛める機能性を追求した入れ歯をご提供しています。
初めて入れ歯を作られる方はもちろん、現在ご使用中の入れ歯に不具合があり新しく作り直したい方も、ぜひ一度大井町フラミンゴ歯科へご相談ください。
豊富な入れ歯素材を取り揃えています
入れ歯は、患者様それぞれの口腔内の状態やお悩みに合わせて最適な形が異なります。
品川区・大井町のフラミンゴ歯科では、「自然に見える入れ歯が欲しい」 「しっかり噛める入れ歯を作りたい」といったご要望に応えるため、保険適用の入れ歯から、精度にこだわった精密入れ歯まで、豊富な素材をご用意しています。
患者様にとって理想の入れ歯をご提案・製作し、快適な日常生活をサポートいたします。
-
保険適用のレジン床
保険適用の入れ歯は、レジン(プラスチック素材)を使用して作製します。歯の欠損状態に応じて、金属のバネ(クラスプ)で固定する部分入れ歯から、粘膜の吸着で安定させる総入れ歯まで対応可能です。保険診療のため素材や工程には制限がありますが、当院では可能な限り 見た目・使いやすさ・噛みやすさに配慮し、快適にご利用いただける入れ歯をご提供しています。
-
審美性の高いノンクラスプデンチャー
ノンクラスプデンチャーとは、固定のために金属のバネ(クラスプ)を使用しない、審美性に優れた入れ歯です。歯ぐきの色に近い特殊な樹脂で入れ歯を安定させるため、自然で目立ちにくく、周囲から入れ歯と気づかれにくいのが特徴です。また、金属を一切使用しないため、金属アレルギーのリスクがなく安心してご利用いただけます。
-
熱伝導の高い金属床デンチャー
生体親和性の高いコバルトクロムやチタンなどの金属を床(しょう)と呼ばれる土台部分に使用した入れ歯です。強度のある金属を使うことで耐久性を保ちながら、入れ歯を薄く仕上げられるため装着時の違和感が少ないのが特徴です。また、金属は熱伝導率が高いため、食べ物や飲み物の温度を感じやすく、食事をより美味しく楽しめるというメリットもあります。
-
弾力のあるシリコンデンチャー
シリコンデンチャーとは、入れ歯の粘膜と接する部分に柔らかい生体シリコンを貼り付けた入れ歯です。弾力性のあるシリコンがクッションの役割を果たし、装着時の痛みを和らげ、快適に咀嚼できるのが特徴です。さらにシリコンの高い吸着力によって入れ歯が安定するため、ずれにくく、より強い力でしっかり噛むことが可能になります。
-
磁石で固定するマグネットデンチャー
マグネットデンチャーとは、残っている歯の歯根に埋め込んだ金属と、入れ歯側に組み込んだ強力な磁石の吸着力で固定する入れ歯です。磁石の力でしっかり安定するため、ズレや外れがほとんどなく、快適に噛むことが可能です。また、着脱は簡単に行えるため、毎日のお手入れもスムーズで煩わしさがありません。
-
インプラントオーバーデンチャー
インプラントオーバーデンチャーは、インプラントを利用して固定する入れ歯です。インプラントは顎骨としっかり結合しているため、入れ歯がズレたり、外れたりすることがほとんどなく、力いっぱい噛むことができます。
-
精密入れ歯BPSデンチャー
「BPSデンチャー(Biofunctional Prosthetic System/生体機能的補綴システム)」は、見た目の美しさだけでなく、歯本来の機能性を徹底的に追求した超精密入れ歯です。このシステムは認定を受けた歯科医院・歯科技工士のみが扱える独自の方法で、笑顔・咀嚼・発音時の顎や筋肉の動きを細かく確認しながら、フルオーダーメイドで製作します。
そのため、患者様一人ひとりに最適化された、自然で快適な装着感の入れ歯をご提供可能です。
精度の高い入れ歯を
製作するためのポイント
-
経験豊富な歯科技工士との連携
入れ歯は、歯科医師が採取した口腔内データを基に、歯科技工士(歯科補綴物を製作する専門職人)が作り上げます。そのため、歯科技工士の知識や技術力は、入れ歯の精度や快適さに直結します。
大井町フラミンゴ歯科では、経験豊富な歯科技工士と密に連携し、一人ひとりに適した精度の高い入れ歯の提供に努めています。 -
治療用入れ歯で口腔内を正常化
本入れ歯を製作する前の診断で顎のズレや噛み合わせの不調和が確認された場合、まずは治療用入れ歯(リハビリ用義歯)を使用します。
治療用入れ歯によって、顎の位置や口周りの筋肉を正しい状態に整えることで、快適にフィットする入れ歯を製作する土台を作ることが可能です。 -
シリコン材による精密印象
患者様のお口にしっかりフィットする入れ歯を製作するためには、精密な型取り(歯型の採取)が不可欠です。大井町フラミンゴ歯科では、型ずれが起こりにくいシリコン印象材を使用し、精度の高い歯型を採取することで、快適に装着できる入れ歯づくりに努めています。
-
精密な咬み合わせ調整で入れ歯を快適に長持ちさせる
作製した入れ歯を長期間快適に使用するためには、咬み合わせの調整が欠かせません。大井町フラミンゴ歯科では、ミクロン単位で細部のバランスを整える精密調整を行い、噛み心地を高めるとともに、過度な咬合力による破損リスクを軽減しています。
入れ歯の費用
※下記料金はすべて税込となります。
部分入れ歯
| 名称 | 料金(税込) | 名称.料金(税込) |
|---|---|---|
| コバルト部分床 金属床 |
1~3歯 275,000円 4~7歯 330,000円 8歯以上 440,000円 |
|
| コバルト部分床 極み |
1~3歯 330,000円 4~7歯 440,000円 8歯以上 550,000円 |
|
| チタン部分床 |
1~3歯 385,000円 4~7歯 440,000円 8歯以上 550,000円 |
|
| チタン部分床 極み |
1~3歯 440,000円 4~7歯 550,000円 8歯以上 660,000円 |
|
| スマイルデンチャー |
1~3歯 165,000円 4~7歯 220,000円 |
|
| 印象代 | 1,100円 |
診療料金
| 名称 | 料金(税込) | 名称.料金(税込) |
|---|---|---|
| 診断設計 | 22,000円 | |
| 概形印象(片顎) | 5,500円 | |
| BPS概形印象(片顎) | 22,000円 | |
| 精密印象(片顎) | 22,000円 | |
| BPS精密印象(片顎) | 55,000円 | |
| 咬合採得 | 33,000円 | |
| BPS咬合採得 | 88,000円 | |
| ゴシックアーチ | 55,000円 | |
| 技工士立ち会い | 22,000円 | |
| ロケーター加工 | 55,000円(1本) | |
| バーアタッチメント | 110,000円 |
総入れ歯
| 名称 | 料金(税込) | 名称.料金(税込) |
|---|---|---|
| 暫間義歯 | 265,000円 | |
| シリコン総義歯 | 330,000円 | |
| コバルト金属床総義歯 | 550,000円 | |
| コバルト金属床総義歯 極み | 770,000円 | |
| チタン金属床総義歯 | 770,000円 | |
| チタン金属床総義歯 極み | 990,000円 | |
| BPSリハビリ | 660,000円 | |
| BPSレジン | 1,320,000円 | |
| BPSコバルト | 1,650,000円 | |
| BPSチタン | 1,980,000円 | |
| BPS咬合採得 | 88,000円 |
入れ歯・義歯のよくあるご質問
-
Q.
現在使用している入れ歯が合わないのですが、調整や作り直しはできますか?
-
はい、現在お使いの入れ歯も、お口の状態に合わせて調整や作り直しが可能です。
入れ歯が「痛い」「外れやすい」「噛みにくい」と感じる場合、多くは歯ぐきや顎の形が時間とともに変化していることが原因です。
入れ歯は長く使ううちにお口の中の形と少しずつ合わなくなり、違和感やズレが生じることがあります。小さな不具合であれば、入れ歯の裏面を調整したり、リライン(内面修正)と呼ばれる処置でフィット感を改善できます。
一方で、入れ歯の変形や大きなずれ、破損がある場合は、新しい入れ歯の作製が必要になることもあります。
無理に合わない入れ歯を使い続けると、歯ぐきの炎症や顎関節への負担につながることがあるため、早めの診察と調整が大切です。大井町フラミンゴ歯科では、現在お使いの入れ歯の状態を丁寧に確認し、調整で快適に使えるか、作り直しが適しているかを正確に診断します。
また、保険の入れ歯のほか、軽くて丈夫な金属床義歯や吸着性・フィット感の高い精密義歯など、より快適なオプションもご提案しています。入れ歯が合わないと感じた時点での調整は、入れ歯の寿命を延ばし、痛みや不快感の軽減にもつながります。
少しの違和感でも我慢せず、まずはお気軽にご相談ください。 -
Q.
部分入れ歯と総入れ歯の違いは何ですか?
-
部分入れ歯と総入れ歯の大きな違いは、残っている歯の本数と構造にあります。
部分入れ歯は、まだご自身の歯が一部残っている場合に使うタイプで、失った歯の部分だけを補う入れ歯です。
金属のバネ(クラスプ)や樹脂製の土台を使って、残っている歯に固定します。
比較的コンパクトで取り外しができるため、修理や調整もしやすく、費用を抑えて自然な見た目に仕上げることも可能です。一方の総入れ歯は、すべての歯を失った方に使用するタイプで、歯ぐき全体を覆う形で人工の歯を並べた構造です。
吸着や密着によって固定されるため、入れ歯の精度や噛み合わせのバランスがとても重要になります。
現在では、軽量で熱を伝えやすい「金属床義歯」や、密着性に優れた「吸着義歯」など、快適性を高めたタイプも選べます。大井町フラミンゴ歯科では、CTや口腔内スキャナーを用いた精密な型取りと噛み合わせ分析を行い、
部分入れ歯・総入れ歯のいずれの場合も、食事・会話・見た目の自然さを重視した設計を行っています。
「自分にはどちらが合うのか分からない」という方も、お口の状態を確認しながら最適な方法をご提案いたします。 -
Q.
入れ歯で食事はしっかり噛めますか?
-
入れ歯でもしっかり噛めるようになりますが、慣れるまでに少し時間がかかる場合があります。
入れ歯は天然の歯と異なり、歯ぐきの上に乗せて噛むため、最初は硬いものや粘りのある食べ物を噛みにくく感じることがあります。
しかし、数日から数週間で徐々に筋肉や舌が入れ歯の動きに慣れ、自然に噛めるようになっていく方が多くいらっしゃいます。入れ歯の設計や素材によっても噛み心地は大きく変わります。
保険の入れ歯は比較的軽く柔らかい素材を使用しますが、強い力を加えるとたわみやすく、食べ物の感触が伝わりにくいことがあります。
一方、自費診療の金属床義歯や吸着性の高い精密義歯は、熱を伝えやすく密着度も高いため、より自然な噛み心地を得やすいのが特徴です。大井町フラミンゴ歯科では、CT撮影や噛み合わせ分析を行い、入れ歯がしっかり安定するように設計しています。
また、調整を重ねながら患者様それぞれの咀嚼バランスに合わせて微調整を行うことで、より快適に食事を楽しめるようサポートしています。
「硬いものを食べると痛い」「噛むとズレる」といった場合も、調整で改善できることが多いため、気になる際は早めにご相談ください。
品川区大井町で適合性・長持ちに
こだわった入れ歯をご希望の方へ
大井町フラミンゴ歯科では、豊富な入れ歯素材をはじめ、経験豊富な歯科技工士との連携や精度を高めるための工程にこだわり、患者さま一人ひとりのご要望にそった快適な入れ歯の製作に努めております。品川区大井町にて入れ歯治療をご検討中の方はぜひ、大井町フラミンゴ歯科までお気軽にご相談ください。
CONTACT
お問い合わせ・
ご予約はこちらから
-
-
無料カウンセリング・WEB予約
WEB予約はこちら -
LINEで簡単予約できます!
LINE予約はこちら